一、什么是脑出血?
1、出血性脑卒中又称为颅内出血,是脑卒中的常见形式。占所有脑卒中的10-15%(在亚洲占30%)。中国高发。
2、脑卒中在中国居民死亡原因中排名前三,其中出血性脑卒中占大多数。是神经外科常见病、多发病
二、为什么会发生脑出血?
1、危险因素
(1)年龄:55岁以上发病率明显上升,其年龄每增加10岁,发病率增加1倍;
(2)性别:男性多于女性;
(3)既往史:有脑血管意外的危险性升至23:1
(4)饮酒
(5)肝功能异常

2、直接原因
(1)高血压
(2)脑动脉瘤
(3)血管畸形
三、脑出血严重吗?
脑出血的严重程度决定于三个方面:出血量-出血部位-病情进展
四、发生脑出血怎么办?
五、什么叫医生有所能有所不能?
医生无法解决脑出血带来的原发性损害。只能尽量去解决其带来的继发性损害。
1、哪些能?哪些不能?
(1)不能
A.病人出血的部位和出血量是在发病很短的时间内就决定的,医生不能控制。
B.出血一般需要4-6小时自行停止、出血后水肿期为必然病理过程,医生不能阻止。
(2)能
C.医生能够使用控制血压等方式减少再出血机会,能够使用脱水药物减轻脑水肿危害。
D.医生能够采用最合适的手术入路和方式以最小代价清除脑内血肿,减少继发性脑损害。
2、能不能手术?
(1)手术适应症:
A.当出血超过一定量,需要手术治疗。
B.幕上20ml幕下10ml
C.当出血压迫明显造成神经功能损害,需要手术治疗。
(2)手术禁忌症:
A.严重肝肾或其他器官功能衰竭
B.严重血液系统疾病或凝血功能异常
C.生命体征极不稳定
D.已经脑死亡
3、能不能微创?
微创手术是目前外科治疗的方向,绝大多数需要手术的病人是可以通过微创手术解决的,但微创手术有其局限性,有的出血不适合微创手术,在手术选择时需要和临床医生多沟通,选择最适合的手术方式
4、什么叫微创手术?
是指利用某些技术,通过较小的伤口和脑组织损伤清除血肿的手术方式。包括:钻孔抽吸、内镜清除
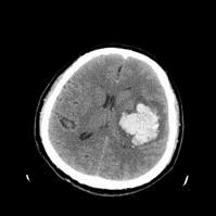
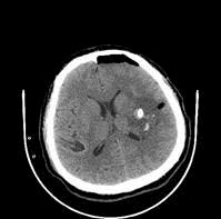
微创手术效果
5、能不能康复
脑出血康复的前提:白质纤维束的完整性、血管的完整性
6、能不能预防
脑出血如此凶险、预防大于治疗



2018年3月15日健康大讲堂内容 主讲人:神经外科 罗明
预告:2018年3月29日健康大讲堂内容:胃食管反流的防治与调理 主讲人:消化内科 胡伟